Posture and scoliosis
Posture
Posture is the position in which you hold your body upright against gravity while standing, sitting or lying down.
Good posture involves training your body to stand, walk, sit and lie in positions where the least strain is placed on supporting muscles and ligaments during movement or weight-bearing activities.
Maintaining good posture involves training your body to move and function where the least strain is placed on the body. Good posture improves the physiologic function of your body, while improving your appearance.
Assessment of posture
Every client we see has an assessment of posture from side and the back.
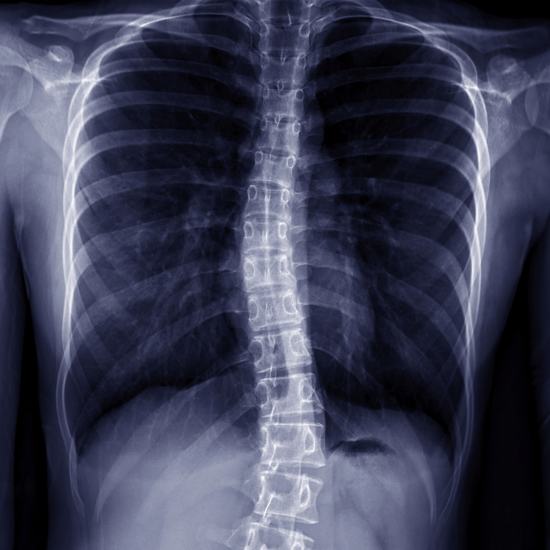
Scoliosis
Scoliosis is a condition of abnormal sideways curvature of the spine.
When scoliosis is suspected an x-ray may be required. Measurements are used to grade the severity.
It is important to identify scoliosis early, especially in the teenage years, and around periods of growth.
How to book a consultation with our chiropractors.
Contact our Berwick or Cowes practice to make an appointment.
We provide care for infants/toddlers, children, adults, and throughout pregnancy
All of our OptiLife Chiropractic Berwick Chiropractors primarily use the Gonstead System of Chiropractic. We are the only practice in Berwick, Narre Warren and Beaconsfield that primarily uses the entire Gonstead system as a whole.
